احدث الأخبار

برعاية أمير المنطقة الشرقية.. انطلاق فعاليات “قرية النخيل” بالأحساء بالصور.. نائب أمير الشرقية يدشن انطلاق النسخة الثالثة من مهرجان “البشت الحساوي” بالأحساء الأحساء تتحول إلى لوحة عالمية في الملتقى الثالث “مِفَن” بمشاركة 67 فنانًا دار نورة الموسى تطلق النسخة الثالثة من ملتقى مفن الفني بمشاركة 95 فنانا محليا وعالميا الأمير عبدالعزيز بن محمد يستقبل الشيخ “السند” الرئيس العام لهيئة الأمر بالمعروف “تطوير الأحساء” تنظم ورشة عمل لتأسيس تعاونية البشت الحساوي نائب أمير الشرقية يستقبل الفريق المشرف على هاكاثون الشرقية للابتكار الحكومي أمير الشرقية يرعى حفل سفراء وسفيرات التفوق بتعليم المنطقة أمانة الأحساء تنتهي من 179 تعويضًا وتستعيد 861 ألف م² من الأراضي الحكومية خلال 2025 أمانة الأحساء تبدأ أعمال تطوير شارع الأمير تركي بن عبدالعزيز الثاني بمدينة العيون العيون الخيرية تُعيد الأمل لأسرة تضررت من حريق خلال 6 ايام  جامعة الملك فيصل تطبق اختبار “همزة” لقياس المهارات اللغوية

الصحة والحياة

مجمع الدمام الطبي ينقذ حياة مريض بجلطة رئوية حادة عبر الأشعة التداخلية دون جراحة قلب مفتوح

مجمع الدمام الطبي ينقذ حياة مريض بجلطة رئوية حادة عبر الأشعة التداخلية دون جراحة قلب ...

سجل مجمع الدمام الطبي، أحد مكونات تجمع الشرقية الصحي، إنجازاً طبياً نوعياً بنجاح فريقه المختص بالأشعة التداخلية في إنقاذ حياة مريض واجه خطراً محققاً إثر إصابته بجلطة رئوية حادة وشاملة، وذلك عبر تدخل دقيق بتقنية طبية متقدمة جنّبته مخاطر الخضوع ...
الزيارات 145
في الأحساء.. نجاح استئصال ورم ليفي بحجم كبير لمريضة شابة بمستشفى الملك فيصل العام

في الأحساء.. نجاح استئصال ورم ليفي بحجم كبير لمريضة شابة بمستشفى الملك فيصل العام

نجح فريق طبي في مستشفى الملك فيصل العام بالأحساء في إجراء عملية جراحية معقدة لفتاة تبلغ من العمر 19 عامًا، عقب وصولها إلى قسم الطوارئ وهي تعاني نزيفًا حادًا أدى إلى انخفاض مستوى الهيموجلوبين لديها إلى 5 غ / دل، ...
الزيارات 196
في الدمام.. فريق متعدد التخصصات ينجح في إجراء عملية جراحية عالية الخطورة لمريض سرطان

في الدمام.. فريق متعدد التخصصات ينجح في إجراء عملية جراحية عالية الخطورة لمريض سرطان

نجح فريق طبي متعدد التخصصات في إجراء عملية جراحية معقدة لشاب (۱۸) عاماً) يعاني من سرطان خصية منتشر. مع مضاعفات حرجة تمثلت في وجود جلطة متحركة داخل القلب تهدد بحدوث انصمام رئوي.تم التغلب على هذا التحدي عبر تعاون استباقي بين ...
الزيارات 164
تجمع الأحساء الصحي يحصل على أول اعتماد رسمي لوحدة العناية بالجروح على مستوى المملكة

تجمع الأحساء الصحي يحصل على أول اعتماد رسمي لوحدة العناية بالجروح على مستوى المملكة

حصل تجمع الأحساء الصحي على أول اعتماد رسمي لوحدة العناية بالجروح على مستوى المملكة، بعد أن منحت وزارة الصحة - ممثلة بالإدارة العامة لشر لشؤون المراكز المتخصصة - وحدة العناية بالجروح بمستشفى الأمير سعود بن جلوي شهادة التصنيف كأول وحدة ...
الزيارات 169
تقرير جديد: 5 خرافات شائعة عن مضادات الاكتئاب 

تقرير جديد: 5 خرافات شائعة عن مضادات الاكتئاب 

كشف تقرير حديث نشره موقع "هيلث لاين" عن انتشار واسع للمعلومات المضللة حول مضادات الاكتئاب، مما يغذي التردد والوصمة الاجتماعية تجاه استخدامها، مؤكدًا على أهمية الاعتماد على الحقائق العلمية لاتخاذ قرارات مستنيرة.وأوضح التقرير أن مضادات الاكتئاب تُهيئ بيئة دماغية مناسبة ...
الزيارات 136
الصحة تنفي: الوضع الوبائي لمتلازمة «ميرس» آمن ولا تحورات لتفشٍ جديد

الصحة تنفي: الوضع الوبائي لمتلازمة «ميرس» آمن ولا تحورات لتفشٍ جديد

حسمت وزارة الصحة الجدل المثار حول مستجدات متلازمة الشرق الأوسط التنفسية «MERS-CoV»، مؤكدة على لسان وكيلها للصحة العامة الدكتور عبدالله عسيري، أن الوضع الوبائي في المملكة آمن ومستقر تماماً.ونفت "الصحة" بشكل قاطع حدوث أي تحور جيني للفيروس أو رصد أي ...
الزيارات 131
مستشفى الملك فيصل العام ينظم فعالية توعوية بمناسبة اليوم السعودي للرعاية الصحية المنزلية

مستشفى الملك فيصل العام ينظم فعالية توعوية بمناسبة اليوم السعودي للرعاية الصحية المنزلية

نظّم مستشفى الملك فيصل العام فعالية توعوية بمناسبة #اليوم_السعودي_للرعاية_الصحية_المنزلية، وذلك بهدف التعريف بخدمات الطب المنزلي ودوره الحيوي في تقديم رعاية صحية متكاملة داخل منازل المرضى.واشتملت الفعالية على أركان تعريفية ونشرات تثقيفية استعرضت أبرز خدمات الرعاية الصحية المنزلية، وآليات الاستفادة منها، ...
الزيارات 181
خلال أسبوع.. تجمع الأحساء الصحي يواصل الإنجازات النوعية لتعزيز الرعاية الصحية والابتكار

خلال أسبوع.. تجمع الأحساء الصحي يواصل الإنجازات النوعية لتعزيز الرعاية الصحية والابتكار

في إطار الجهود المتواصلة للارتقاء بالمنظومة الصحية في محافظة الأحساء، يواصل تجمع الأحساء الصحي تحقيق إنجازات نوعية تعكس التزامه بتحسين جودة الرعاية الصحية، وتطوير الخدمات الطبية، ودعم الابتكار والتميّز المؤسسي، بما ينسجم مع مستهدفات رؤية المملكة 2030. وشهدت الفترة الأخيرة ...
الزيارات 198
إنهاء معاناة سبعينية من تبعات جلطات دماغية حادة بتقنيات الأشعة التداخلية بالخبر

إنهاء معاناة سبعينية من تبعات جلطات دماغية حادة بتقنيات الأشعة التداخلية بالخبر

أنهى مستشفى الدكتور سليمان الحبيب بالخبر، معاناة مراجعة في العقد السابع من عمرها، أصيبت بجلطات دماغية، سببت لها العديد من المضاعفات الحادة، أبرزها الضُعف العام بالأطراف العلوية والسفلية جهة اليمين من الجسم وفقدان الذاكرة. هذا ما أوضحه الدكتور عبدالرحمن العبد ...
الزيارات 149
بالصور.. تدشين حملة التبرع بالدم بمركز صحي الفضول

بالصور.. تدشين حملة التبرع بالدم بمركز صحي الفضول

دشّنت جمعية الفضول الخيرية، يوم الجمعة 26 ديسمبر 2025م ، حملة التبرع بالدم بمركز صحي الفضول حملة التبرع بالدم التي تنظمها جمعية الفضول الخيرية، بالتعاون مع تجمع الأحساء الصحي ممثّلًا في مستشفى الولادة والأطفال، وذلك ضمن جهود وزارة الصحة لتعزيز ...
الزيارات 241
تجمع الأحساء الصحي يحصد جوائز التميز في صيدليات المستشفيات والابتكار الصحي لعام 2025

تجمع الأحساء الصحي يحصد جوائز التميز في صيدليات المستشفيات والابتكار الصحي لعام 2025

واصل ⁧‫تجمع الأحساء الصحي‬⁩ ترسيخ حضوره الوطني في مسارات التميّز والابتكار، بعد أن حصد جائزة التميز في صيدليات المستشفيات لعام 2025م من وزارة الصحة، وذلك خلال مؤتمر IHOP7، نظير أدائه المتقدم في مؤشرات الجودة والكفاءة التشغيلية.وجاء هذا التتويج بعد تحقيق ...
الزيارات 169
دراسة تكشف سببًا غير متوقع لارتفاع ضغط الدم: اضطراب مواعيد النوم لا مدته

دراسة تكشف سببًا غير متوقع لارتفاع ضغط الدم: اضطراب مواعيد النوم لا مدته

كشف باحثون من معهد Scripps Research الأمريكي عن سبب غير متوقع قد يسهم في ارتفاع ضغط الدم الشرياني لدى بعض الأشخاص، يتمثل في اضطراب مواعيد النوم، وليس عدد ساعات النوم كما هو شائع.دراسة حديثةوبحسب دراسة نشرتها مجلة JMIR العلمية، اعتمد ...
الزيارات 132
حرقة المعدة دون أسباب واضحة.. تحذير طبي من تجاهل أعراض قد تشير لمشكلات صحية خطيرة

حرقة المعدة دون أسباب واضحة.. تحذير طبي من تجاهل أعراض قد تشير لمشكلات صحية خطيرة

قد يُصاب بعض الأشخاص بحرقة المعدة حتى في غياب الأسباب الشائعة مثل تناول الطعام الحار أو التدخين، إذ يحدث الارتجاع الحمضي عندما يصعد حمض المعدة إلى المريء، مسببًا شعورًا بالحرقان في الصدر، وقد يترافق مع أعراض أخرى مثل رائحة الفم ...
الزيارات 148
في الأحساء.. نجاح تنفيذ أول إجراء لإغلاق تمدد شرياني دماغي بالقسطرة

في الأحساء.. نجاح تنفيذ أول إجراء لإغلاق تمدد شرياني دماغي بالقسطرة

حقق مستشفى المانع بالأحساء إنجازًا طبيًا بنجاح تنفيذ أول إجراء من نوعه لإغلاق تمدد شرياني دماغي نازف بالقسطرة لمريض يبلغ من العمر 45 عامًا، جرى تحويله من مستشفى آخر إثر إصابته بنزيف حاد في الدماغ.وأُدخل المريض إلى وحدة العناية المركزة ...
الزيارات 186
الجمعة والسبت.. انطلاق حملة «عطاء الفضول» للتبرع بالدم بالأحساء

الجمعة والسبت.. انطلاق حملة «عطاء الفضول» للتبرع بالدم بالأحساء

تنطلق يوم الجمعة حملة “عطاء الفضول” للتبرع بالدم، التي تنظمها جمعية الفضول الخيرية، بالتعاون مع تجمع الأحساء الصحي ممثلاً بـ مستشفى النساء والولادة بالمبرز، وذلك في مركز صحي الفضول يومي الجمعة والسبت الموافقين 26 و27 ديسمبر 2025م، من الساعة 4:00 ...
الزيارات 156
الالتهاب الرئوي يهدد الأطفال دون الخامسة.. طبيب يحذر ويؤكد: الكشف المبكر ينقذ الحياة

الالتهاب الرئوي يهدد الأطفال دون الخامسة.. طبيب يحذر ويؤكد: الكشف المبكر ينقذ الحياة

حذّر الدكتور يوجيش كومار جوبتا، استشاري طب الأطفال في الهند، من خطورة الالتهاب الرئوي باعتباره أحد أبرز أسباب الوفاة بين الأطفال دون سن الخامسة عالميًا، رغم سهولة علاجه في حال الاكتشاف المبكر والتدخل الطبي السريع.وأوضح جوبتا، في تقرير نشره موقع ...
الزيارات 130
مستشفى الولادة والأطفال بالأحساء ينقذ حياة طفلة ابتلعت جسمًا غريبًا

مستشفى الولادة والأطفال بالأحساء ينقذ حياة طفلة ابتلعت جسمًا غريبًا

أنقذت الفرق الطبية في مستشفى الولادة والأطفال بالأحساء - بفضل الله - حياة طفلة تبلغ من العمر سنة وستة أشهر، بعد تعرضها لحالة ضيق تنفسي حاد نتيجة دخول جسم غريب إلى مجرى الهواء.وأوضح الفريق الطبي أن الطفلة حضرت إلى قسم ...
الزيارات 178
في الخبر.. نجاح عملية دقيقة لاستبدال الفقرة الرقبية الخامسة وتحرير الحبل الشوكي

في الخبر.. نجاح عملية دقيقة لاستبدال الفقرة الرقبية الخامسة وتحرير الحبل الشوكي

في إنجازٍ طبي نوعي يعكس التقدّم الذي حققه مستشفى المواساة بالخبر في مجال جراحة المخ والأعصاب والعمود الفقري، نجح الفريق الطبي باشراف الدكتور محمد أنس سنان – استشاري جراحة المخ والأعصاب والعمود الفقري – في إجراء عملية دقيقة لاستبدال الفقرة ...
الزيارات 175
مستشفى الولادة والأطفال ينفّذ ورشة عمل حول تسجيل المخاطر لتعزيز سلامة المرضى

مستشفى الولادة والأطفال ينفّذ ورشة عمل حول تسجيل المخاطر لتعزيز سلامة المرضى

 أقام مستشفى الولادة والأطفال يوم امس الخميس 2025/12/11م ، ورشة عمل متخصصة حول تسجيل المخاطر، تناولت آليات التوثيق الصحيحة، وربط المخاطر بالأحداث الجسيمة، ومتطلبات البلاغ المعتمدة، وذلك ضمن جهوده المستمرة لتعزيز ثقافة السلامة داخل المنشأة الصحية.وأكدت الورشة أن تسجيل المخاطر ...
الزيارات 257
 بدء التشغيل التجريبي لمركز سارة بنت عبدالرحمن الراشد لطب الأسنان بالمبرز

 بدء التشغيل التجريبي لمركز سارة بنت عبدالرحمن الراشد لطب الأسنان بالمبرز

أعلن ⁧تجمع الأحساء الصحي⁩ يوم امس الخميس 2025/12/11م ، عن بدء التشغيل التجريبي لمركز سارة بنت عبدالرحمن الراشد لطب الأسنان في محافظة المبرز، ضمن جهوده المستمرة لتطوير منظومة الرعاية الصحية ورفع كفاءة خدمات طب الأسنان المقدمة للمستفيدين.وأوضح التجمع أن المركز ...
الزيارات 427
في الأحساء.. مركز الأمير سلطان للقلب ينقذ حياة مريض بعد توقف قلبه باستخدام تقنية الإيكمو

في الأحساء.. مركز الأمير سلطان للقلب ينقذ حياة مريض بعد توقف قلبه باستخدام تقنية الإيكمو

سجل فريق جراحة القلب التخصصي في مركز الأمير سلطان لمعالجة أمراض وجراحة القلب بالأحساء إنجازا طبيا نوعيًا، تمثل في إنقاذ حياة مريض يبلغ من العمر خمسين عامًا، بعد تعرضه لتوقف مفاجئ وكامل في القلب أثناء عملية قسطرة معقدة، وذلك بفضل ...
الزيارات 236
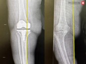
مستشفى الحبيب بالخبر يُجري عملية زراعة مفصل معقدة لإعادة قدرة المشي لثمانينية

مستشفى الحبيب بالخبر يُجري عملية زراعة مفصل معقدة لإعادة قدرة المشي لثمانينية

نجح مستشفى الدكتور سليمان الحبيب بالخبر، وعبر تقنية الروبوت الجراحي "Robotic Surgery"، في إنهاء معاناة مراجعة تبلغ من العمر 84 سنة، كانت تشكو من ألم حاد ومزمن في مفصل الركبة اليسرى، أفقدها القدرة على المشي. ذكر ذلك الدكتور محمد سكيك ...
الزيارات 191
في الخبر.. تشغيل وحدة مجهزة بأحدث التقنيات لعلاج اضطرابات النوم

في الخبر.. تشغيل وحدة مجهزة بأحدث التقنيات لعلاج اضطرابات النوم

أعلن مستشفى الدكتور سليمان الحبيب بالخبر، عن تشغيل وحدة متخصصة في علاج اضطرابات النوم، تعد من أحدث الوحدات الطبية على مستوى المنطقة، حيث يقدم من خلالها رعاية صحية متقدمة تشتمل على كافة التخصصات الخاصة باضطرابات النوم بمختلف أنواعها، وعلى يد ...
الزيارات 239
تدشين حملة «نبدأها بخفّة» لمحاصرة سمنة الأطفال في الخبر.. وتحذر من خطر الشاشات

تدشين حملة «نبدأها بخفّة» لمحاصرة سمنة الأطفال في الخبر.. وتحذر من خطر الشاشات

دشن المدير التنفيذي لمستشفى الملك فهد الجامعي بالخبر، الدكتور عبدالله يوسف، الحملة التوعوية الموسعة «نبدأها بخفّة»، تزامناً مع فعاليات اليوم العالمي للطفل 2025، بهدف محاصرة ظاهرة سمنة الأطفال ورفع الوعي المجتمعي بمسبباتها وطرق الوقاية منها.وحذر استشاري طب الأطفال والأمراض الصدرية ...
الزيارات 171
مستشفى الحبيب بالخبر ينقذ حياة مراجع توقف قلبه بسبب انسداد كلي للشريان النازل

مستشفى الحبيب بالخبر ينقذ حياة مراجع توقف قلبه بسبب انسداد كلي للشريان النازل

بفضل من الله- نجح مستشفى الدكتور سليمان الحبيب بالخبر، في إنقاذ حياة مريض خمسيني توقف قلبه، إثر إصابته باحتشاء في عضلة القلب، وتمكن فريق طبي قاده د. عبدالله الشهري استشاري القلب والقسطرة التداخلية، من إنعاشه واستعادة حركة الدم الطبيعية في ...
الزيارات 313
مستشفى الحبيب بالخبر يُنهي معاناة مسن مع ورم كلوي ممتد إلى الوريد الأجوف السفلي

مستشفى الحبيب بالخبر يُنهي معاناة مسن مع ورم كلوي ممتد إلى الوريد الأجوف السفلي

أنهى مستشفى الدكتور سليمان الحبيب بالخبر، معاناة مراجع يبلغ من العمر 67 عاماً مع تبعات ورم كبير نشأ في الكلية اليمنى، الأمر الذي تسبب له في العديد من المضاعفات أبرزها، الآلام الحاده ووجود دم في البول. ذكر ذلك الدكتور فهد ...
الزيارات 215
مستشفى الحبيب بالخبر يستبدل مفصلي الركبة والورك وعظمة الفخذ ويعيد “الحركة” لـ”ستينية”

مستشفى الحبيب بالخبر يستبدل مفصلي الركبة والورك وعظمة الفخذ ويعيد “الحركة” لـ”ستينية”

تمكن مستشفى الدكتور سليمان الحبيب بالخبر، من إعادة القدرة على الحركة والمشي لسيدة ستينية، ظلت طريحة الفراش منذ أكثر من "14" عاماً، بسبب مضاعفات عملية استبدال مفصل الورك الأيمن كانت قد خضعت لها قبل "30" عاماً، وأجرى لها فريق طبي ...
الزيارات 193
دراسة: مرحلة المراهقة قد تمتد حتى سن 32 عامًا

دراسة: مرحلة المراهقة قد تمتد حتى سن 32 عامًا

كشفت دراسة أمريكية حديثة أن مرحلة المراهقة قد تمتد حتى سن 32 عامًا، خلافًا لما كان شائعًا بأنها تنتهي في أواخر العشرينيات، حيث يمر الدماغ البشري بأربع نقاط تحوّل رئيسية عند أعمار 9 و32 و66 و83 عامًا.ووفقًا لتقرير نشرته شبكة ...
الزيارات 235
خبيرة تكشف: 5 عادات يومية تحمي من ألم المفاصل

خبيرة تكشف: 5 عادات يومية تحمي من ألم المفاصل

أشارت البروفيسورة يفغينيا يكوشيفا خبيرة الأمراض الروماتيزمية، إلى أن الجلوس الطويل أو الخمول البدني، إلى جانب زيادة الوزن، قد يؤدي إلى إصابات والتهابات في غضاريف المفاصل.ووفقاً لتقرير على موقع صحيفة "إزفيستيا" الروسية، وضعت يكوشيفا خمس عادات أساسية للحفاظ على سلامة ...
الزيارات 241
كم ساعة أمام الشاشة آمنة يوميًا؟.. أخصائي عيون يوضح

كم ساعة أمام الشاشة آمنة يوميًا؟.. أخصائي عيون يوضح

أوضح البروفيسور فياتشيسلاف كورينكوف، أخصائي طب وجراحة العيون، أن العمل أمام شاشات الكمبيوتر آمن بشرط ألا يتجاوز 6 ساعات يوميًا، مع ضرورة أخذ فترات راحة منتظمة لتجنّب إجهاد العين.وبيّن أن الحد الأمثل للوقت المريح يتراوح بين 4 إلى 6 ساعات ...
الزيارات 222
أسبوع بلا سوشيال ميديا يُحدث “معجزة نفسية” لدى الشباب

أسبوع بلا سوشيال ميديا يُحدث “معجزة نفسية” لدى الشباب

كشفت دراسة جديدة نُشرت في مجلة JAMA Network Open أن الامتناع عن استخدام وسائل التواصل الاجتماعي لمدة أسبوع واحد فقط يمكن أن يمنح الشباب دفعة قوية في صحتهم النفسية.وبحسب تقرير لموقع ميديكال إكسبريس، شملت الدراسة 295 شابًا تتراوح أعمارهم بين ...
الزيارات 245