احدث الأخبار

الأربعاء القادم.. أمير الشرقية يرعى حفل تخريج الدفعة 47 من طلاب وطالبات جامعة الملك فيصل العدالة يقترب من البقاء في دوري يلو بثنائية أمام الأنوار لماذا يتوقف نزول الوزن؟.. 5 أسباب وراء توقف حقن التخسيس عن العمل كريستيانو رونالدو يكشف سر احتفاله «Siuu» بعد الهدف 970 في مسيرته الأحساء تبدأ إزالة السيارات التالفة من شوارع حرض برسائل تحذيرية اختتام المرحلة الثالثة من أولمبياد «نسمو» بتعليم الأحساء بمشاركة 667 طالبًا وطالبة اختتام “صناع السياحة 2026” في الأحساء بتأهيل 87 كادرًا وطنيًا ارتفاع أسعار الذهب مع تراجع أسعار النفط ضربات متتالية للفساد: “نزاهة” تكشف 259 قضية وتوقف 97 متهمًا في الكلابية… الجمعية العمومية لجمعية الريف الرياضية تعقد اجتماعها الأول لعام 2026 تنظيم شامل للإعلانات العقارية.. «العقار» تُقر لائحة جديدة لتعزيز الشفافية وحماية المتعاملين جامعة الملك فيصل تطلق معرض الهندسة بمشاركة 29 جهة لتعزيز جاهزية الطلبة في الأحساء

في إنجاز طبي بارز.. مستشفى الحبيب بالخبر يعيد المشي لسبعينية بعملية استبدال مفصل ركبة متطورة

1 تعليق
في إنجاز طبي بارز.. مستشفى الحبيب بالخبر يعيد المشي لسبعينية بعملية استبدال مفصل ركبة متطورة
https://wahhnews.com/?p=84639
في إنجاز طبي بارز.. مستشفى الحبيب بالخبر يعيد المشي لسبعينية بعملية استبدال مفصل ركبة متطورة
الواحة نيوز

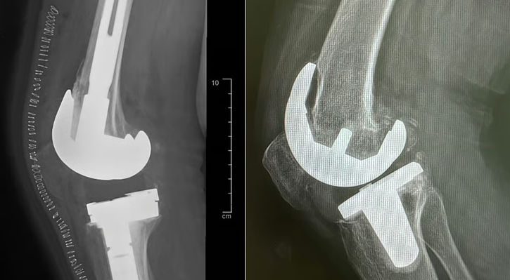
أجرى مستشفى الدكتور سليمان الحبيب الطبي بالخبر، عملية استبدال مفصل ركبة معقدة وناجحة، أنهت معاناة سيدة تبلغ من العمر “74” عاماً كانت قد خضعت لجراحة مماثلة بمستشفى آخر منذ نحو “18” عاماً، وعانت مؤخراً من حزمة واسعة من الأعراض الحادة، التي غيرت نمط حياتها.

وقال د. محمد عبدالله القحطاني استشاري جراحة العظام واستبدال المفاصل والإصابات الرياضية، رئيس الفريق الطبي المعالج، أن المراجعة قدمت إلى المستشفى وهي تشتكي من عدم القدرة على الحركة، والآلام الحادة والتورم، وعدم القدرة على مد الركبة أو ثنيها بشكل كامل، مع تشوه واضح في الساق والركبة.

وأوضح د. القحطاني أن الفريق الطبي أخضعها لفحوصات طبية دقيقة، أهمها الأشعة المقطعية لاختبار جودة العظام وكثافتها، والتأكد مما إذا كانت مصابة بالهشاشة أم لا، وغيرها من الفحوصات التي بينت وجود تخلخل وانحراف في المفصل، مع تآكل العظم، وتلف الغضاريف.

واستطرد د. القحطاني الحاصل على الزمالة الكندية للإصابات الرياضية وجراحة المناظير واستبدال المفاصل، قائلاً أن المراجعة أخضعت لعملية جراحية معقدة تم فيها استخراج المفصل الصناعي القديم، واستبداله بآخر نوعي مخصص لمثل هذه الحالات، كما تم وضع دعامات لتثبيت المفصل، مشيراً إلى أن العملية مضت بصورة سلسلة ووفقاً للخطة العلاجية، وتكللت ولله الحمد جهود الفريق الطبي بالنجاح، إذ عادت المريضة للمشي على قدميها بصورة طيبة بعد العملية مباشرة بمساعدة أخصائي العلاج الطبيعي، قبل أن تغادر المستشفى بعد أيام بحالة جيدة.

وتعد مستشفيات الدكتور سليمان الحبيب، من أهم مقدمي خدمات الرعاية الصحية المتكاملة والمستوفية لكل المعايير الوطنية والدولية في تخصص زراعة المفاصل، على أيدي مجموعة من أميز الكوادر الطبية، وبأحدث الأجهزة ، حيث تعتبر مستشفيات المجموعة مرجعاً في عمليات استبدال المفاصل بالمنطقة، كما أنها تعتمد تقنيات حديثة لإجراء هذا النوع من العمليات تتميز بأنها تُمكّن المرضى من السير بعد ساعات من العملية وتقلل الآلام إلى أدنى مستوى، وكذلك تُقصِر فترتي التنويم والتأهيل.

التعليقات (١) اضف تعليق

  1. ١
    زائر

    نشكر الدكتور محمد عبدالله القحطاني
    على الجهود المبذولة ونقول له وفقك
    الله وابعد عنك الاشرار
    مستشفى سليمان الحبيب 👇
    مستشفى قديم وممتاز بالتوفيق

اضف تعليق

بريدك الالكترونى لن نقوم بأستخدامه.

You may use these HTML tags and attributes:
<a href="" title=""> <abbr title=""> <acronym title=""> <b> <blockquote cite=""> <cite> <code> <del datetime=""> <em> <i> <q cite=""> <s> <strike> <strong>