احدث الأخبار

95 عقارًا في الشرقية.. 86 مزادًا عقاريًا لبيع أكثر من 1,300 أصل في مختلف المناطق قرارات مهمة خلال اجتماع مجلس الوزراء برئاسة ولي العهد.. تعاون دولي وتقدم كبير في رؤية 2030 ورشة “فنّ الجبس” تعزّز الإبداع الفني لدى طالبات نادي الرائدة الأسرية بالمبرز د.هاجر السلطان تكتب: نعم.. نحن أبناء وبنات هذا الوطن رئيس بلدية العيون يستقبل رئيس وأعضاء مجلس إدارة نادي العيون ولي العهد يترأس القمة الخليجية التشاورية في جدة لبحث المستجدات وتنسيق المواقف أمير قطر وملك البحرين وولي عهد الكويت يصلون إلى جدة للمشاركة في القمة الخليجية التشاورية بمشاركة 70 جهة.. أمير الشرقية يرعى انطلاق معرض التوظيف 2026 في جامعة الملك فهد للبترول أمير الشرقية يستقبل منسوبي جامعة الأمير محمد بن فهد ويثمن إنجازاتها العلمية 287 مشاركًا يثـرون أمسية “الحوار مع المراهقين” بالجمعية الخيرية لتيسير الزواج بالمنيـزلة اليوم.. أمير الشرقية يرعى حفل تخريج 7866 طالبًا بجامعة الإمام عبدالرحمن بن فيصل بين الائتلاف والاختلاف… أمسية أدبية تحتفي بخطاب الرحلة السعودي في توقيع نوعي بالأحساء

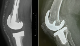
إنجاز جديد.. نجاح عملية استبدال مفصل الركبتين لمريضة في مجمع الدمام الطبي

التعليقات: 0
إنجاز جديد.. نجاح عملية استبدال مفصل الركبتين لمريضة في مجمع الدمام الطبي
https://wahhnews.com/?p=67112
إنجاز جديد.. نجاح عملية استبدال مفصل الركبتين لمريضة في مجمع الدمام الطبي
محمود عبد العظيم

في إنجاز طبي جديد، نجح فريق طبي في مجمع الدمام الطبي، أحد المرافق التابعة لشبكة الدمام الصحية، أحد مكونات تجمع الشرقية الصحي، في إجراء عملية استبدال مفصلي الركبتين لمريضة في عملية جراحية واحدة.

وحضرت المريضة إلى العيادات الخارجية وهي تعاني من آلام حادة، إضافة إلى صعوبة في أداء الأنشطة اليومية وتقييد ملحوظ في الحركة والمشي لمسافات قصيرة.

أوضح استشاري جراحة العظام في مجمع الدمام الطبي، الدكتور سعد الطاهر، أن الفريق الطبي قام بإجراء الفحوصات الإكلينيكية اللازمة، بما في ذلك الأشعة والتحاليل، للتأكد من حالة المريضة وتحديد إمكانية إجراء العملية في وقت واحد.

التعليقات (٠) اضف تعليق

اضف تعليق

بريدك الالكترونى لن نقوم بأستخدامه.

You may use these HTML tags and attributes:
<a href="" title=""> <abbr title=""> <acronym title=""> <b> <blockquote cite=""> <cite> <code> <del datetime=""> <em> <i> <q cite=""> <s> <strike> <strong>