احدث الأخبار

إعلان استثماري لمشروع مدينة الدمام الرياضية بقيمة تصل إلى مليار ريال بمشاركة 250 متطوعًا.. أمانة الأحساء تنفذ مبادرة “مدن الجمال الحضري” لتعزيز جمالية المدينة “صناعة الكلام”.. أمسية أدبية تُضيء أثر الكلمة في فضاءات الأحساء الثقافية “الكفاءة الذاتية”.. لقاء تفاعلي يعزز الثقة بالنفس لدى مستفيدات جمعية فتاة الأحساء أمير الشرقية يستقبل سفيرة الجمهورية الهيلينية لدى المملكة 667 طالبًا وطالبة من تعليم الأحساء يجتازون المرحلة الثانية في أولمبياد “نسمو” الوطني جريمة مروعة في الولايات المتحدة.. رجل يقتل 8 أطفال بينهم 7 من أبنائه خطوات تحويل رواتب العمالة المنزلية والشروط المطلوبة للاستفادة من الخدمة جراحة ميكروسكوبية دقيقة تُنهي معاناة عشرينية من تشوه خلقي باليدين في مستشفى الحبيب بالخبر حتى 9 مساءً.. رياح وأتربة مثارة على الأحساء وأجزاء من الشرقية ريما الحافظ تتألق في أدباء الأحساء… أمسية تناقش دعم الروائيين الجدد وتنوع القراءة ضمن مبادرة أرامكو.. اتفاقية لإطلاق برنامج لتأهيل الكفاءات النسائية في صناعة منتجات التمور بالأحساء

جراحة ميكروسكوبية دقيقة تُنهي معاناة عشرينية من تشوه خلقي باليدين في مستشفى الحبيب بالخبر

التعليقات: 0
جراحة ميكروسكوبية دقيقة تُنهي معاناة عشرينية من تشوه خلقي باليدين في مستشفى الحبيب بالخبر
https://wahhnews.com/?p=100840
جراحة ميكروسكوبية دقيقة تُنهي معاناة عشرينية من تشوه خلقي باليدين في مستشفى الحبيب بالخبر
الواحة نيوز

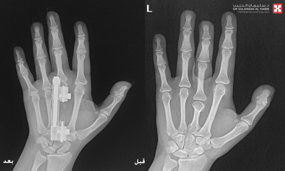
أنهت جراحة عظام متقدمة بمستشفى الدكتور سليمان الحبيب بالخبر، معاناة مراجعة تبلغ من العمر 24 عاماً، مع الحرج الإجتماعي، نتيجة وجود تشوه خلقي منذ الولادة أدى لإختلاف في أطوال الاصابع والإنحراف الشديد فيها، ورغم المحاولات المتكررة للعلاج في أكثر من مستشفى ومركز طبي، لم تتمكن المراجعة من إيجاد حل لمشكلتها. وظلت في رحلة بحث للعلاج لــ 10 سنوات متواصلة. ذكر ذلك الدكتور عبدالرحمن الرفاعي استشاري طب وجراحة العظام والتشوهات والحوادث وجراحات مفصل الورك المتقدمة، رئيس الفريق الطبي المعالج .

وقال د. الرفاعي أن المراجعة وصلت المستشفى في حالة نفسية معقدة، وبعد الإستماع إلى شكواها والإطلاع على ملفها الطبي، تم إخضاعها لمجموعة من الفحوصات الطبية والتي شملت، الأشعة المقطعية (C.T Scan) والسينية الرقمية (Digital X-Rays) والتحاليل المخبرية.

مشيراً إلى أن نتائج الفحوصات أوضحت وجود تشوه خلقي باليدين مع قصر بالإصبع الأوسط بأكثر من ٤ سم، بالإضافة إلى وجود ميلان وإنحسار بالحركه، وهو الأمر الذي أثر على الوظيفة الطبيعية لليد وبشكل كبير، فضلاً عن التأثير النفسي بسبب التشوه الظاهر. موضحاً أن الفريق الطبي المعالج قام بدراسة كافة النتائج، واضعاً خطة يتم فيها تطويل الإصابع.

وأوضح الدكتور الرفاعي أن العملية استغرقت ساعتين ونصف، وتم فيها استخدام تقنية التطويل والتعديل التدرجي بإستخدام جهاز Super Mini LRS ، والذي يتميز بسهولة الإستخدام، وصغر الحجم كي لا يتسبب في الإزعاج خاصة فترة الليل أو عند الحركة، نقلت بعدها المراجعة إلى جناح التنويم، للمتابعة الحثيثة، وعلى إثر تحسن حالتها خرجت من المستشفى بعد يومين وهي بصحة جيدة، مع وضع برنامج دوري لزيارة العيادة ومتابعة نتائج التطويل.

وأكد د. الرفاعي أن اليد أصبحت طبيعية تماماً من الناحية الوظيفية والشكلية ولله الحمد، مشيداً بتوفر الأجهزة والتقنيات المتقدمة لعلاج حالات التشوه العظمي، موضحاً أن حالة المراجعة، تُعد من الحالات النادره والمعقده، وذلك لوجود شبكات من الأوعية الدموية والأعصاب والأوتار المحيطة بمنطقة اليد، والتي تتطلب خبره عاليه ودقه بإجراء هذه الجراحات.

التعليقات (٠) اضف تعليق

اضف تعليق

بريدك الالكترونى لن نقوم بأستخدامه.

You may use these HTML tags and attributes:
<a href="" title=""> <abbr title=""> <acronym title=""> <b> <blockquote cite=""> <cite> <code> <del datetime=""> <em> <i> <q cite=""> <s> <strike> <strong>